The information below is taken from an article in Norsk Fiskeoppdrett in December 2024 authored by the histopathology team at PHARMAQ Analytiq Norway- Páll Gretarsson, Marianne Kraugerud, Hege Hellberg, Helene Wisløff, Marta Alarcón, William Reed and Kai-Inge Lie.
Together with vets from Åkerblå, PHARMAQ Analytiq described the first outbreak of disease caused by this bacterium in a freshwater RAS hatchery in 20211, with a further increase in cases described in a recent article in Norsk Fiskeoppdrett.

Figure 1: Secondary smear on blood agar (BA) from salmon kidney, with growth of greyish, beta- haemolytic colonies. Aeromonas veronii detected by PCR.
Aeromonas veronii is a gram-negative rod bacterium belonging to the family Aeromonadaceae. It is mainly found in freshwater and brackish water in warmer regions but can also survive in seawater. International studies have described the bacterium in several fish species, where it causes considerable problems in carp and catfish in China 2,3, among others. Common clinical signs of infection are ulcers, bleeding in internal organs, and increased mortality, but may vary depending on the virulence factors of the bacterium 2,4. Granulomas in the liver and spleen have also been described in sea bass in Greece5.
PHARMAQ Analytiq analyses samples from locations throughout Norway, submitted by fish health personnel for clarification/diagnosis of disease. For the detection of A. veronii, bacteriology was used for isolation of the primary pathogen and the isolate confirmed with polymerase chain reaction (PCR). In several cases, we have also detected signs of systemic bacterial infection on histopathological examination.
Aeromonas veronii in Norway
PHARMAQ Analytiq first detected A.veronii in Norwegian salmon in 2021, at one site1.  The following year, it was diagnosed at three sites. In 2023, the bacterium was detected at only one site, but in 2024 it was detected at six sites. The bacterium has been detected at locations along the entire coast, but most cases have been detected in the Karmøy to Sotra production area (PO3) at different locations each year. Disease associated with A. veronii has been found in both facilities on land and at sea. (flow-through and RAS).
Common features of these cases were increased mortality, ulcers and internal signs of a generalised septicaemia including bleeding in internal organs. Also reported were splenomegaly (swollen spleen), bleeding in muscle, haemorrhage and swelling of the vent, ascites and/or caudal fin rot.
In the majority of the samples, the bacterium was cultured from the kidney, but in some cases the bacteria were also cultured from skin lesions, muscle lesions or liver. Most had abundant growth of motile Aeromonas spp. in mixed culture. In three cases, from two localities, pure culture was cultivated from kidney. Secondary smears showed greyish, beta-haemolytic colonies (Figure 1).
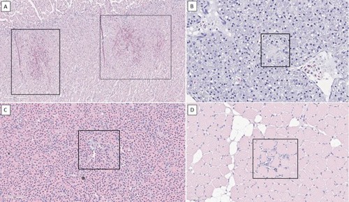
Histopathological examination of fish with confirmed A. veronii mainly showed changes consistent with systemic bacterial infection, with bleeding in the heart (stratum compactum) and abdominal fat, as well as bacteria in the spleen and liver. Some also had bacteria in the kidney, muscle, gill, pseudobranchii, skin and heart. Epicarditis and endocarditis to varying degrees were observed in some individuals, as well as necrosis of the liver, spleen and/or muscle.

Figure 2: Histology images from cases of confirmed Aeromonas veronii infection in salmon. A: Heart, haemorrhages (box) in stratum compactum B: Liver, rod bacteria associated with necrosis (box). C: Spleen, rod bacteria (box). D: Red skeletal muscle, rod bacteria and necrosis (box). All images belong to PHARMAQ Analytiq.
Discussion
It is unclear why there has been an increase in identification of Aeromoas veronii infections in the past 12 months, and why a particular production area has seen the most cases. Possible reasons may be that the environmental conditions this year are favourable for the bacterium, or that it may be difficult to get rid of the bacterium once it has been introduced. 
Aeromonas veronii can infect a variety of fish species and live for a long time in the environment. PHARMAQ Analytiq has also detected the bacterium in wrasse species and rainbow trout in the same period (2021-2024), but it is only in salmon that we have observed an increase.
There are few international studies that have described disease outbreaks of A. veronii in salmon. However, our observations are consistent with studies describing the disease in other species 2,4,6. We did not find granulomas in internal organs, as described in sea bass in one study 5. The observed clinical signs and histopathological changes described here and in international studies are consistent with systemic bacterial infection. The bacterium has several virulence genes that can give rise to different clinical signs 4,7. It is also considered a zoonotic agent, which can cause enteritis and sepsis in humans 8,9. The disease picture in salmon can be similar to yersiniosis or vibriosis, and in one of our cases, both Yersinia ruckeri and A. veronii were detected in the same fish.
If infection with A.veronii or other systemic bacterial infection is suspected, it is recommended to take out an organ package for histopathological examination and microbiology samples from the head kidney from at least five moribund individuals.
A PCR is also available from PHARMAQ Analytiq, and the agent might be considered for inclusion of agents to screen for in the investigation of bacterial septicaemias.
References
1 Salvesen Ø, Luis ESC, Kraugerud M. Utbrudd med Aeromonas veronii på laks i et RAS-anlegg: Norsk Veterinærtidsskrift; 2022 [Available from: https://nvt.vetnett. no/journal/2022/6/m-1908/Utbrudd_ med_Aeromonas_veronii_p%C3%A5_ laks_i_et_RAS-anlegg.
2 Wang B, Mao C, Feng J, Li Y, Hu J, Jiang B, et al. A First Report of Aeromonas veronii Infection of the Sea Bass, Lateolabrax maculatus in China. Front Vet Sci. 2020;7:600587.
3 Cai SH, Wu ZH, Jian JC, Lu YS, Tang JF. Characterization of pathogenic Aeromonas veronii bv. veronii associated with ulcerative syndrome from chinese longsnout catfish (Leiocassis longirostris Günther). Braz J Microbiol. 2012;43(1): 382–8.
4 Chen F, Sun J, Han Z, Yang X, Xian JA, Lv A, et al. Isolation, Identification and Characteristics of Aeromonas veronii From Diseased Crucian Carp (Carassius auratus gibelio). Front Microbiol. 2019;10:2742.
5 Smyrli M, Prapas A, Rigos G, Kokkari C, Pavlidis M, Katharios P. Aeromonas veronii Infection Associated with High Morbidity and Mortality in Farmed European Seabass Dicentrarchus labrax in the Aegean Sea, Greece. Fish Pathology. 2017;52(2): 68–81.
6 Zepeda-Velázquez AP, Vega-Sánchez V, Salgado-Miranda C, Soriano-Vargas E. Histopathological findings in farmed rainbow trout (Oncorhynchus mykiss) naturally infected with 3 different Aeromonas species. Can J Vet Res. 2015;79(3): 250–4.
7 Fernández-Bravo A, Figueras MJ. An Update on the Genus Aeromonas: Taxonomy, Epidemiology, and Pathogenicity. Microorganisms. 2020;8(1).
8 Batra P, Mathur P, Misra MC. Aeromonas spp.: An Emerging Nosocomial Pathogen. J Lab Physicians. 2016;8(1): 1–4.
9 Li T, Raza SHA, Yang B, Sun Y, Wang G, Sun W, et al. Aeromonas veronii Infection in Commercial Freshwater Fish: A Potential Threat to Public Health. Animals (Basel). 2020;10(4).
PHARMAQ is the global leader in vaccines and innovation for aquaculture and part of Zoetis, the world leader in animal health. The company provides environmentally sound, safe and efficacious health products to the global aquaculture industry through targeted research and the commitment of dedicated people. Production facilities, administration and research and development activities are based in Norway with subsidiaries in Chile, United Kingdom, Vietnam, Turkey, Spain, Panama and Hong Kong. PHARMAQ has approximately 300 employees. The company's products are marketed in Europe, North and South America, and Asia. For further information, visit the company's website at www.pharmaq.com. Privacy Policy. Cookie Policy. Terms of Use.
Copyright © 2020 Zoetis LLC. All rights reserved.