Første kvartal av 2025 har gitt flere positive nyheter om helsesituasjonen i næringen. Det er blant annet meldinger om mindre sår i sjøfasen, og flere områder melder om bedret gjellehelse. Selv om det er mye som går i riktig retning, har PHARMAQ Analytiq opplevd en økning i utfordrende bakterielle sykdommer fra innsendt materiale. Pseudomonas spp. og Pasteurella spp. er to av sykdommene som har utmerket seg på laks i sjøfasen. I tillegg har det vært enkelte tilfeller av vibriose, både i sjø- og settefiskanlegg.
PHARMAQ - Publisert 18.05.2025
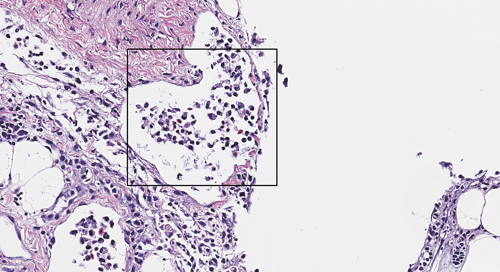
Bilde 1: Histologisk snitt. HE-farging. Betennelse i øye med bakterier, fra en sak med påvist Pseudomonas spp.
Pseudomonas spp. er vanlig forekommende bakterier, og de fleste infeksjoner blir oppfattet som opportunistiske infeksjoner som et resultat av dårlig vannkvalitet. I noen tilfeller kan imidlertid Pseudomonas fluorescens være hovedproblemet til økt dødelighet i settefiskanlegg. Gjennom vinteren har vi imidlertid sett flere tilfeller fra PO7 og 8 av hittil ukjente varianter av bakterien som har gitt systemisk infeksjon, og forårsaket dødelighet hos affisert laks i sjø.
Sykdomstegn hos laks med infeksjon med Pseudomonas spp. har vært utstående øyne, blødninger i øyne og svømmeblære, væske i hjertehule, fibrin på lever og lesjoner ved brystfinnebasis. Det har vært økt dødelighet forbundet med sykdomsutbruddene. Sykdommen har blitt håndtert med å ta ut enkeltmerder, samtidig som fiskegruppene i størst mulig grad har fått stå i ro. I tilfeller hvor det har vært behov for behandling, har det blitt valgt mest mulig skånsomme metoder.
Bakterieisolater fra utbruddene har blitt analysert med utvidet sekvensering, hvor flere gener har blitt undersøkt. Resultatene viser at isolatene fra PO7 er identiske med hverandre, men ikke like de som er blitt påvist fra PO8. Vi overvåker alle innsendelser hvor det er mistanke om Pseudomonas spp. for å følge situasjonen videre.

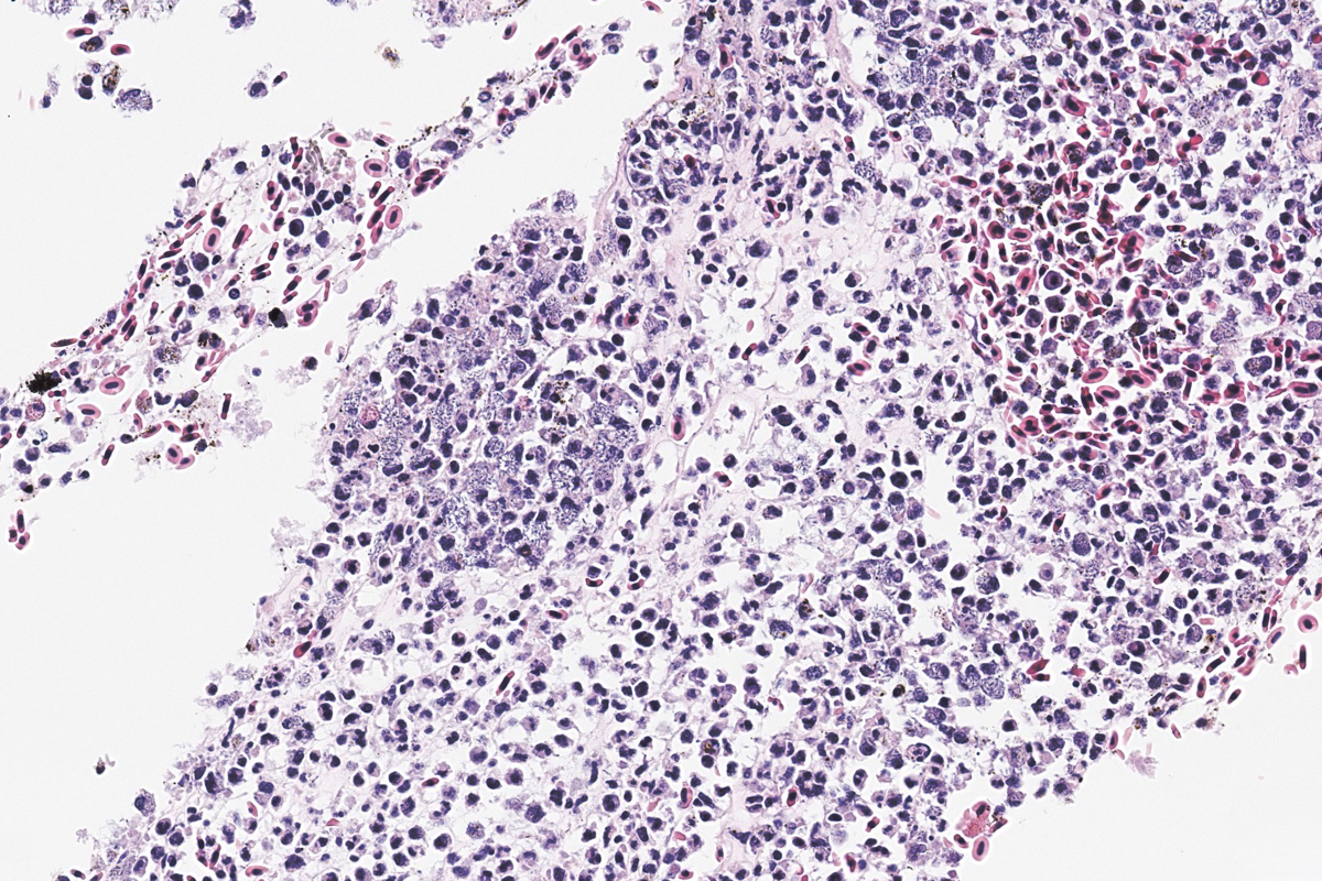
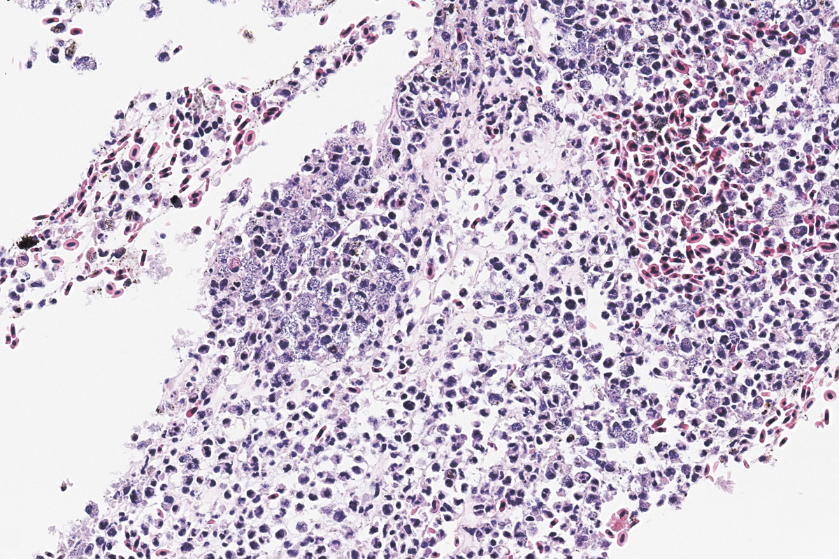
Bilde 2: Histologisk snitt. HE-farging. Bakterier og betennelsesceller (boks) i blodkar i hjerte, fra en sak med påvist Pseudomonas spp.
Infeksjon med bakterien Pasteurella spp. blir også kalt pasteurellose, og regnes som en alvorlig bakteriesykdom for oppdrettsfisk. Ved utbrudd av sykdommen, rammer det ofte stor fisk i slutten av produksjonssyklusen. Denne vinteren har vi sett flere utbrudd av pasteurellose i Midt-Norge. Det kliniske bildet har for det meste vært preget av forøket dødelighet, sår ved finnebasis, puss på gjeller, byller og blødninger i lever, og enkelte med byller i nyret. I tillegg har enkelte hatt utstående øyne og blødninger i fettvev, bukhinne og svømmeblære. Fra områder på Vestlandet hvor sykdommen har vært en utfordring i lengre tid, er det kjent at bakterien lett smitter i forbindelse med bruk av behandlingsfartøy, slik at dette kan være en potensiell smittekilde også i Midt-Norge.
Vibriose er en sykdom som rammer mange ulike fiskearter, både villfisk og oppdrettsfisk i sjøvann og brakkvann. Sykdommen forårsakes av bakterier i slekten Vibrio, og utbrudd skjer ofte i forbindelse med stress, for eksempel ved håndtering, og særlig når vanntemperaturen er høy.
Vaksine mot Vibrio anguillarum gir vanligvis god beskyttelse. Likevel kan det forekomme sykdomsutbrudd, spesielt under ugunstige forhold.
I 2024 ble det rapportert enkelte tilfeller av vibriose hos regnbueørret. Det ble påvist systemiske infeksjoner med V. anguillarum, men i de fleste tilfellene var det en bakterie som lignet V. ordalii som dominerte.
Det kliniske bildet viste økt dødelighet, hudblødninger og tegn til sepsis med petekkier i flere organer. Det er også vanlig med utflytende milt ved vibriose hos regnbueørret.

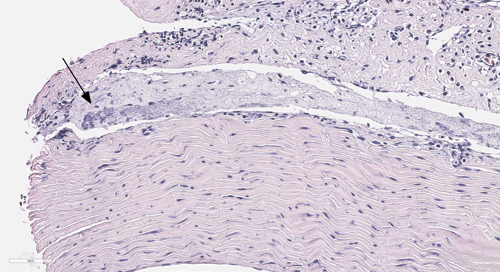
Bilde 3: Histologisk snitt. HE-farging. Hud med bakteriell dermatitt (pil), fra en sak med påvist klassisk vibriose.
Diagnostisering ved mistanke om bakterielle infeksjoner, gjøres ved hjelp av mikrobiologiske undersøkelser med dyrking og identifisering av bakterien. Ved sykdom på sjø er mediene blodagar med salt og marinagar anbefalt å bruke. Det anbefales å gjøre utstryk fra hodenyre og eventuelt sår hos svimere. Ved mistanke om systemisk bakterieinfeksjon er det også anbefalt å ta ut organpakke til histopatologisk undersøkelse.
PCR-undersøkelser fungerer godt for mange bakterielle utfordringer, og PHARMAQ Analytiq har tilgjengelig assay for både Pasteurella sp. og Vibrio anguillarum.
For utredning av tilfeller med Pseudomonas spp anbefales klassisk mikrobiologi og utvidet sekvensering.
Se våre uttaksveiledere for nærmere anbefaling til prøveuttak.
PHARMAQ er verdens ledende selskap innen vaksiner og innovasjon rettet mot akvakulturnæringen og er en del av Zoetis, verdens ledende selskap innen dyrehelse. Våre innovative fiskehelseløsninger inkluderer et bredt spekter som fiskevaksiner, terapiprodukter, vaksinasjonsmaskiner inkludert servicetjenester, forskning og analyser. Selskapet leverer miljøvennlige, trygge og effektive helseprodukter til den globale akvakulturnæringen ved hjelp av målrettet forskning og engasjerte medarbeidere. Produksjon, administrasjon, forskning og utvikling ligger i Norge og med global virksomhet i kommersielle oppdrettsmarkeder har PHARMAQ rundt 375 medarbeidere. Konsernets produkter markedsføres i Europa, Nord- og Sør-Amerika samt i Asia. For mer informasjon, se selskapets hjemmeside: www.pharmaq.com. Personvernerklæring Erklæring om informasjonskapsler (cookies) Bruksvilkår
Copyright © 2020 Zoetis LLC. Alle rettigheter forbeholdt.